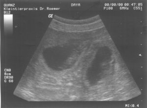
Heute waren wir zum Ultraschall bei der Tierärztin. Es waren mehrere Fruchthöhlen zu erkennen und wir konnten auch schon die kleinen Welpenherzen schlagen sehen. Was für ein spannender Moment !!

Daya geht es sehr gut. Sie hat schon ein kleines bisschen zugelegt. Da es heute nicht ganz so heiss war, haben wir die Chance genutzt und waren 2 Stunden im Wald spazieren, damit Daya auch weiterhin fit bleibt.



Wie wunderbar! Wir sind sehr gespannt und freuen uns sehr darauf, die süßen Hundebabies bei euch bestaunen zu dürfen:)
Viel Glück weiterhin für die Hundemama Daya!
🙂 Nina mit Luna